Bệnh nhân thường đến viện ở giai đoạn muộn nên điều trị bảo tồn ít có hiệu quả khi đó bệnh nhân phải thay khớp háng nhân tạo. Nếu chẩn đoán sớm và điều trị kịp thời sẽ cho phép dự phòng được sự tiến triển của bệnh và hạn chế tối đa biến chứng và mức độ tán phế.
Các tế bào của chỏm xương đùi rất nhạy cảm với tổn thương do thiếu máu. Sau khi có sự tắc nghẽn mạch máu, các tế bào xương sống được 12-24h. Các tế bào mỡ có thể sống được 5 ngày, mà các tế bào mỡ được thấy hầu hết trên cộng hưởng từ. Vì vậy khi tế bào mỡ chết sẽ cho hình ảnh giảm tín hiệu trên T1W mà trên Xquang hay kỹ thuật khác không thể quan sát được.
Dưới đây là hai trường hợp điển hình đã được khám và điều trị tại bệnh viện GTVT.
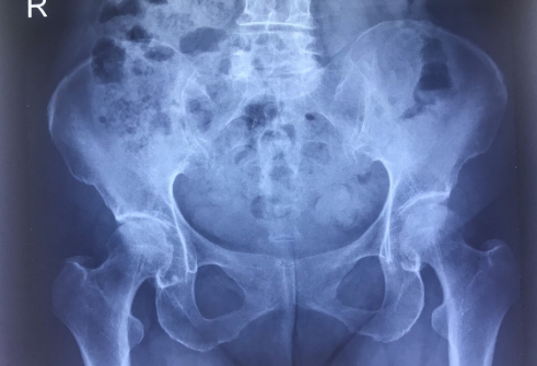
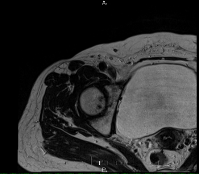
Trường hợp 1: Bệnh nhân T.T.T.Y sinh năm 1953, vào viện với lý do đau khớp háng trong 1 tháng gần đây, bệnh nhân được bác sỹ lâm sàng khám và cho chỉ định chụp Xquang khớp háng. Trên hình ảnh Xquang chỉ quanh sát thấy hình ảnh tổn thương đặc xương dưới sụn ổ cối và hẹp nhẹ khớp háng phải. Bệnh nhân được Bs. Trần Thị Thanh Xuân khoa CĐHA tư vấn chụp thêm phim cộng hưởng từ để chẩn đoán chính xác hơn.
Sau khi chụp MRI kết quả cho thấy tổn thương vùng chỏm xương đùi phải với vùng giảm tín hiệu trên T1,T2, tăng tín hiệu trên STIR, những tổn thương sớm này không thể quan sát thấy được trên chụp Xquang thường quy.




Hình ảnh Xquang và MRI của bệnh nhân
Bệnh nhân được chẩn đoán hoại tử chỏm xương đùi phải giai đoạn II theo phân loại Arlet – Ficat. Với những tổn thương phát hiện sớm như thế này, bệnh nhân sẽ được điều trị nội khoa nhằm bảo tồn khớp háng.
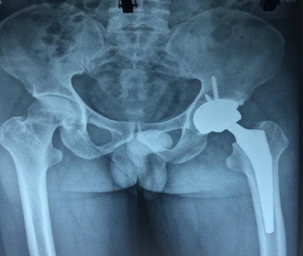
Ngược lại với trường hợp trên thì trường hợp thứ 2 là bệnh T.V. T sinh năm 1970 vào viện với lý do đau khớp háng trái nhiều năm, đến mức phải đi tập tễnh, bệnh nhân đã đi khám nhiều nơi nhưng không tuân thủ điều trị. Kết quả chụp Xquang cho thấy tổn thương là các ổ khuyết xương dưới sụn, bờ của chỏm xương đùi biến dạng được xếp loại giai đoạn III theo Arlet – Ficat và có chỉ định phải phẫu thuật thay chỏm xương đùi. Ê kíp của BSCKII. Hoàng Tuấn Minh, Ths.Bs. Lê Đức Anh, BsCKI. Trần Thành Trung khoa Chấn thương chỉnh hình, với nhiều năm kinh nghiệm đã thay thành công khớp háng cho bệnh nhân. Sau phẫu thuật 1 tháng bệnh nhân hết đau và đã đi lại được bình thường.


Hình ảnh Xquang của bệnh nhân trước và sau phẫu thuật thay khớp háng
Như vậy MRI tỏ ra vượt trội so với các kỹ thuật khác khi phát hiện tổn thương xương ở giai đoạn sớm.Với đầy đủ các trang thiết bị hiện đại như máy Xquang kỹ thuật số, máy CT đa lát cắt, máy cộng hưởng từ 1.5TESLA, cùng đội ngũ y bác sỹ có chuyên môn cao, khoa chẩn đoán hình ảnh bệnh viện GTVT hoàn toàn có thể chẩn đoán sớm nhất HTVKCXĐ cho bệnh nhân.


Hệ thồng máy đọc phim và máy chụp cộng hưởng từ 1.5 TESLA
Để được tư vấn và chẩn đoán bệnh nhân có thể liên hệ khoa Chẩn đoán hình ảnh, Tầng 1 nhà M, Bệnh viện Giao thông vận tải, Ngõ 84 đường Chùa Láng – Đống Đa – Hà Nội. Số điện thoại: 0911233209
