BS Hoàng Đoàn Sơn Tùng trình bày báo cáo tại buổi sinh hoạt.
Hội chứng xung huyết vùng chậu là một trong những nguyên nhân phổ biến dẫn đến tình trạng đau vùng chậu mãn tính. Tình trạng giãn tĩnh mạch và suy tĩnh mạch thường xảy ra ở tĩnh mạch buồng trứng, tĩnh mạch thừng tinh, tĩnh mạch cơ tử cung…tuy nhiên, thường không gây ra bất kỳ triệu chứng nào. Hầu hết phụ nữ bị hội chứng xung huyết vùng chậu có độ tuổi từ 20 - 45 tuổi và đã mang thai nhiều lần.
Các triệu chứng hội chứng xung huyết vùng chậu thông thường là đau, triệu chứng đau từng đợt nhẹ hoặc cũng có thể đau rầm rộ. Dấu hiệu đau này sẽ trở nên tồi tệ hơn vào cuối ngày khi đã ngồi hoặc đứng trong một thời gian dài, nếu người bệnh nằm xuống thì các triệu chứng đau sẽ giảm bớt. Đau cũng sẽ tăng lên nếu người bệnh đang quan hệ tình dục hoặc sau khi quan hệ tình dục và thường đi kèm với hội chứng đau thắt lưng, đau nhức ở chân cũng như chảy máu kinh bất thường. Ngoài triệu chứng đau, người bị hội chứng xung huyết và tắc nghẽn vùng chậu có thể xuất hiện thêm các dấu hiệu như: tình trạng giãn tĩnh mạch ở mông, đùi và âm đạo; Các triệu chứng khác đi kèm có thể bao gồm mệt mỏi, thay đổi tâm trạng hoặc đau nhức đầu và đầy hơi bụng chướng; Biến chứng nguy hiểm của hội chứng xung huyết vùng chậu là thuyên tắc động mạch phổi có thể dẫn đến tử vong.
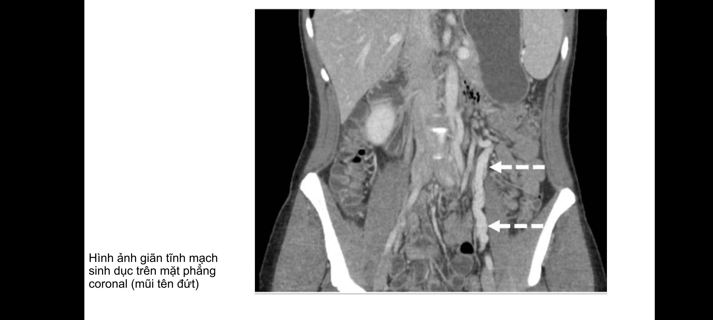
Để chẩn đoán hội chứng xung huyết vùng chậu, bác sĩ thường dựa vào các triệu chứng đau kéo dài trên 6 tháng và buồng trứng căng đau khi thăm khám, ở nam giới là triệu chứng đau, sưng vùng trên bìu và giảm khả năng sinh sản. Ngoài việc dựa vào các dấu hiệu triệu chứng, người bệnh có thể được chỉ định các phương pháp như siêu âm, cắt lớp vi tính, cộng hưởng từ để chẩn đoán.
Bài báo cáo của BS Hoàng Đoàn Sơn Tùng đã nhận được đánh giá cao từ các đồng nghiệp. Phần thảo luận và đặt câu hỏi cho báo cáo viên diễn ra hết sức sôi nổi với nhiều tình huống lâm sàng khác nhau của các bác sỹ chuyên khoa.
Khi bạn có triệu chứng như mô tả ở trên, hãy đến Bệnh viện Giao thông vận tải để được thăm khám, chẩn đoán và điều trị kịp thời, giúp cải thiện chất lượng cuộc sống và giảm thiểu các biến chứng nguy hiểm.
