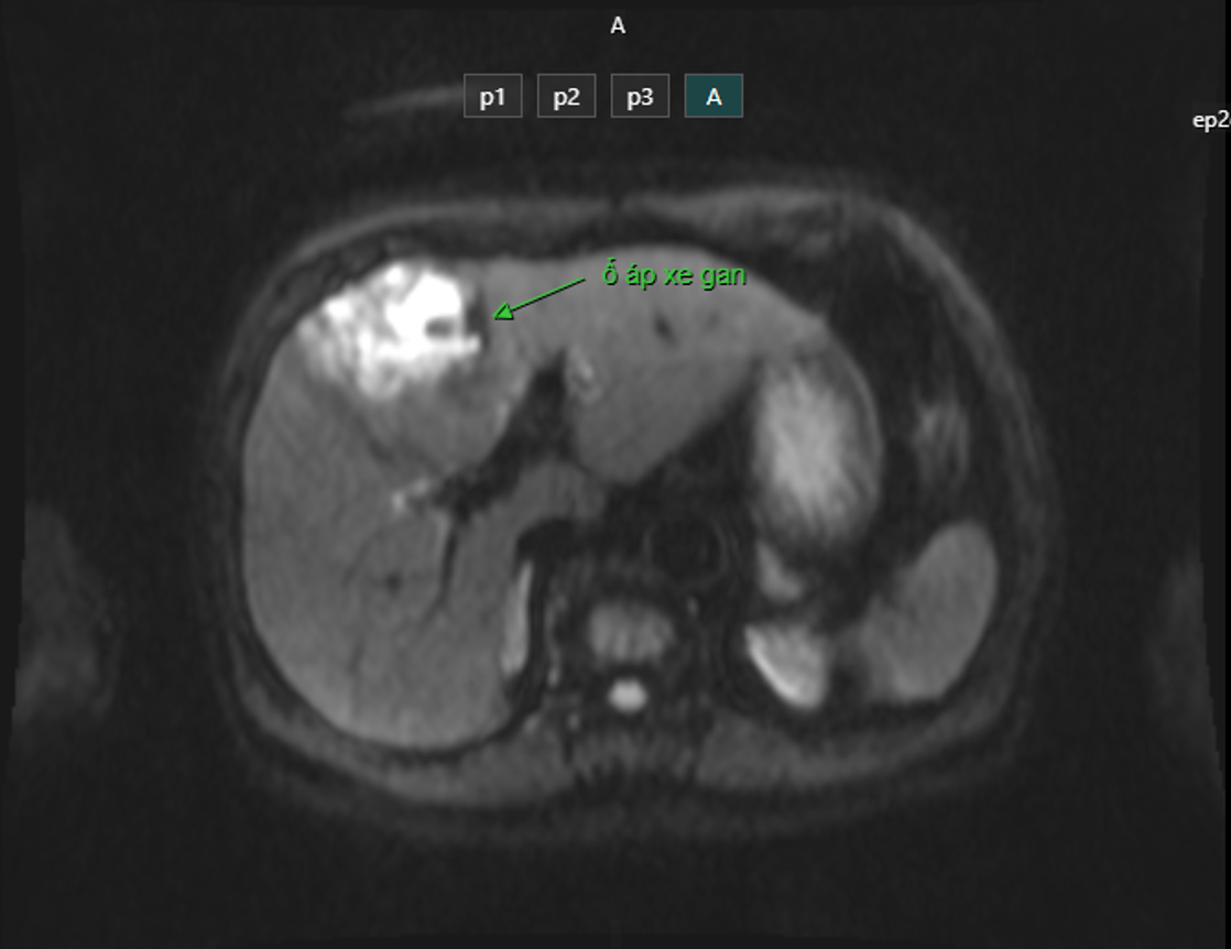
Mới đây khoa Cấp cứu Bệnh viện Giao thông vận tải tiếp nhận bệnh nhân nam 88 tuổi có tiền sử tăng huyết áp, đái tháo đường nhập viện trong tình trạng sốt cao liên tục ngày thứ 1, đau bụng mạn sườn phải, xét nghiệm tình trạng nhiễm khuẩn nặng (Bạch cầu: 21 G/L, procalcitonin: 37), tiểu cầu giảm (78 G/L), có rối loạn đông máu (chỉ số INR: 1.44), siêu âm bụng gan mật có khối không đồng nhất phân thùy IV, theo dõi khối áp xe gan. Ngay lập tức bệnh nhân được cấy máu, phối hợp kháng sinh truyền tĩnh mạch, chụp cộng hưởng từ ổ bụng. Kết quả chụp cộng hưởng từ là ổ áp xe gan phải hạ phân thuỳ IV kích thước 55 x 44 mm.

Hình ảnh ổ áp xe gan phân thuỳ IV trên phim chụp cộng hưởng từ
Kết quả cấy máu dương tính vi khuẩn Klebsiella pneumonia. Bệnh nhân được chẩn đoán xác định: Nhiễm khuẩn huyết do Klebsiella pneumona – Áp xe gan phải. Sau 10 ngày điều trị phối hợp kháng sinh đường tĩnh mạch theo kháng sinh đồ, siêu âm ổ bụng cách ngày kiểm tra, khối áp xe gan đã hoá mủ, bệnh nhân có chỉ định dẫn lưu ổ áp xe.
Vì bệnh nhân tuổi cao, có nhiều bệnh lý nền phối hợp kèm theo tình trạng rối loạn đông máu, giảm tiểu cầu, Bệnh viện đã hội chẩn các chuyên khoa cấp cứu, ngoại tổng hợp, chẩn đoán hình ảnh, hồi sức tích cực để điều chỉnh các rối loạn đông máu và phối hợp dẫn lưu ổ áp xe gan dưới hướng dẫn siêu âm.

Các bác sĩ phối hợp dẫn lưu ổ áp xe dưới hướng dẫn siêu âm
Chọc hút, dẫn lưu ổ dịch áp-xe dưới hướng dẫn siêu âm là một kỹ thuật can thiệp hiện đại, ngày càng được áp dụng giúp giảm kích thước và áp lực bên trong ổ áp-xe một cách nhanh chóng, tránh nguy cơ biến chứng gây vỡ áp-xe vào ổ bụng và màng phổi. Đây là kỹ thuật đặt một dẫn lưu qua da vào ổ áp-xe để dẫn lưu mủ và dịch trong ổ áp xe ra ngoài. Ưu điểm của phương pháp này là ít xâm lấn, thời gian thực hiện ngắn, ít biến chứng, chỉ cần gây tê tại chỗ, không đòi hỏi gây mê toàn thân, giúp bệnh nhân nhanh hồi phục hơn.

Mủ dẫn lưu từ ố áp xe (khoảng 40ml)
Nhờ sự phối hợp giữa các chuyên khoa cùng phác đồ điều trị tích cực, tình trạng lâm sàng bệnh nhân cải thiện tốt, các xét nghiệm về tình trạng nhiễm trùng, đông máu gần như đã trở lại bình thường. Nếu ổ áp xe không được dẫn lưu ra ngoài hoặc ổ áp xe bị vỡ, bệnh nhân phải phẫu thuật mổ mở để hút mủ và đặt dẫn lưu, thời gian nằm viện có thể tới 3 - 4 tuần.
Bệnh lý cấp tính nguy hiểm và khuyến cáo từ bác sĩ
Áp-xe gan là bệnh lý cấp tính có mức độ nguy hiểm cao, đe dọa đến tính mạng người bệnh nếu không được phát hiện và điều trị kịp thời. Như trong trường hợp bệnh nhân trên, nếu không được can thiệp kịp thời, ổ áp xe có thể gây vỡ vào ổ bụng, màng phổi, màng tim, gây ra tình trạng sốc nhiễm khuẩn thậm chí tử vong.
Do đó, ngay khi có những triệu chứng bất thường, nghi ngờ áp-xe gan như sốt cao 39°C - 40°C kèm rét run, vàng da, đau tức hạ sườn phải, mệt mỏi, buồn nôn và nôn, chán ăn…. người bệnh cần đến cơ sở y tế có đầy đủ phương tiện để được phát hiện và điều trị kịp thời.
