
I. TỔNG QUAN
- Dấu hiệu đau vùng chậu được mô tả lần đầu tiên vào năm 1857 bởi bác sỹ Louis Alfred Richet và đến năm 1949 được liên hệ với các triệu chứng giãn tĩnh mạch tạo thành hội chứng xung huyết vùng chậu.
- Đau vùng chậu mãn tính (CPP) được Đại học Sản phụ khoa Hoa Kỳ định nghĩa là các triệu chứng đau bắt nguồn từ các cơ quan vùng chậu thường kéo dài hơn 6 tháng, thường liên quan đến các triệu chứng gợi ý về đường tiết niệu dưới, tình dục, ruột, sàn chậu, rối loạn chức năng cơ hoặc phụ khoagây ra hậu quả tiêu cực về nhận thức, hành vi, tình dục và cảm xúc. Theo Đại học Stanford của Mỹ thống kê khoảng 15% phụ nữ trong độ tuổi 18-50 tuổi có triệu chứng CPP.
- Hội chứng xung huyết vùng chậu là hội chứng gây đau bụng vùng chậu mạn tính thường gặp ở phụ nữ trong hoặc sau tuổi sinh sản. Khoảng 10% phụ nữ có dấu hiệu giãn tĩnh mạch buồng trứng trong đó 60% là do nguyên nhân hội chứng xung huyết vùng chậu.
II. DỊCH TỄ
- Thường gặp ở phụ nữ độ tuổi sinh đẻ và tiền mãn kinh. Hiếm gặp độ tuổi mãn kinh.
- Tiền sử mang thai ít nhất 1 lần (tăng nguy cơ đối với những lần sau).
- Phụ nữ có tiền sử phẫu thuật vùng chậu (50% bệnh nhân nữ có kèm theo u nang buồng trứng).
- Phụ nữ đa thai và đa ối, tử cung ngả sau, đa u xơ lớn làm tăng nguy cơ.
- Có giãn tĩnh mạch ở các vị trí khác.
III. CĂN NGUYÊN
- Các nguyên nhân về “van’’ tĩnh mạch: trong thời kỳ mang thai, tĩnh mạch buồng trứng có thể bị chèn ép do tử cung to ra hoặc to ra do lưu lượng máu tăng lên. Điều này được cho là ảnh hưởng đến các van trong tĩnh mạch khiến chúng ngừng hoạt động và cho phép máu chảy ngược lại, góp phần gây ra PCS.
- Sự vắng mặt các van tĩnh mạch do di truyền. Suy tĩnh mạch nguyên phát là do không có van tĩnh mạch hoặc van hoạt động không hiệu quả.
- Các nguyên nhân khác chèn ép tĩnh mạch: Nut Cracker, May Thunder, hội chứng tĩnh mạch buồng trứng, huyết khối tĩnh mạch buồng trứng. Khối u bên ngoài chèn ép.
- Các bất thường bẩm sinh hoặc mắc phải của tĩnh mạch cửa.
IV. TRIỆU CHỨNG LÂM SÀNG
1. Cơ năng
- Thông thường, đau từng đợt nhẹ, nhưng nó có thể đau như dao cứa hoặc rầm rộ, đau có thể tăng lên vào cuối ngày (sau khi phụ nữ đã ngồi hoặc đứng một thời gian dài) và giảm triệu chứng bằng cách nằm xuống.
- Đau cũng tăng lên trong hoặc sau khi quan hệ tình dục. Đau ngay trước khi hành kinh, có thể kèm theo tiết dịch âm hộ. Nó thường đi kèm với đau thắt lưng, nhức mỏi ở chân và đôi khi ra máu bất thường ở tử cung.
- Cơn đau có xu hướng một bên nhưng có thể là hai bên.
- Ở đàn ông có thể gặp sưng đau bìu, rối loạn cương dương.
- Hội chứng xung huyết vùng chậu có thể làm nặng thêm các bệnh lý khác vùng hạ vị như hội chứng ruột kích thích hoặc trĩ, bệnh lý bàng quang...
2. Thực thể
- Khám thấy có thể có giãn tĩnh mạch dưới da ở mông, đùi, tầng sinh môn, âm hộ âm đạo.
- Khám vùng chậu phát hiện buồng trứng căng đau và cảm giác căng đau cổ tử cung khi di động.
- Sự hiện diện của các triệu chứng kết hợp với khám lâm sàng phát hiện điểm đau ở buồng trứng có độ nhạy 94% và độ đặc hiệu 77% để chẩn đoán PCS.
V. CƠ CHẾ BỆNH
- Sự tích tụ máu trong các tĩnh mạch vùng chậu có thể gây ra tình trạng xung huyết vùng chậu, huyết khối và ảnh hưởng lớn đến các dây thần kinh gần đó, điều này có thể dẫn đến tình trạng đau vùng chậu ngày càng trầm trọng hơn.
- Một giả thuyết khác cho rằng căng tĩnh mạch buồng trứng dẫn đến căng nội mạc, làm biến dạng lớp nội mô và tế bào cơ trơn trong mạch máu, dẫn đến giải phóng các chất vận mạch gây viêm và đau.
VI. CHẨN ĐOÁN HÌNH ẢNH
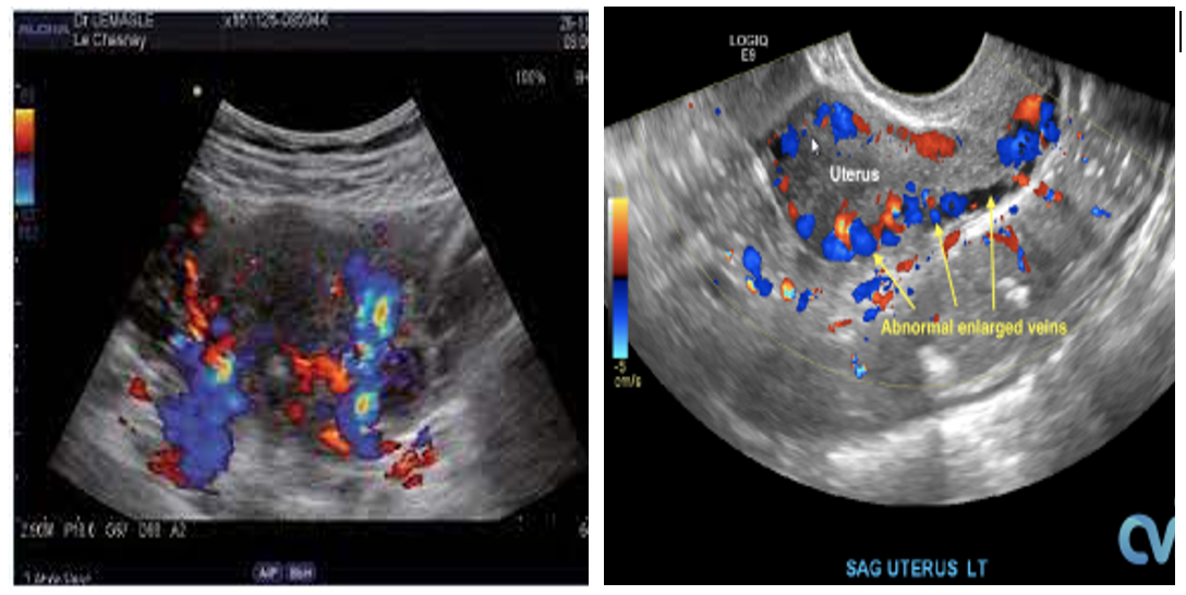
1. Siêu âm – CT - MRI
- Xác định nhiều cấu trúc tĩnh mạch giãn xung quanh tử cung (tránh nhầm lẫn với ứ dịch vòi trứng) – chẩn đoán giãn khi đường kính tĩnh mạch quanh tử cung trên 4mm, đường kính tĩnh mạch buồng trứng giãn trên 6mm.
- Vận tốc dòng chảy trong các nhánh tĩnh mạch thấp dưới 3cm/s hoặc có dòng trào ngược sau khi sử dụng nghiệm pháp Valsava (trên 1s).
- Giãn các tĩnh mạch trong cơ tử cung.
- Hỗ trợ chẩn đoán tốt hơn khi tìm thấy các nguyên nhân chèn ép, thấy vòng nối bàng hệ hai bên vắt qua phía trước hoặc sau tử cung trên CT, MRI.



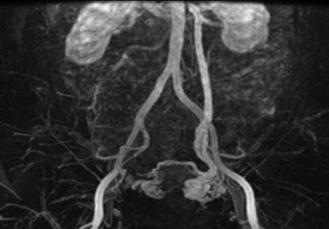
2. Chụp mạch
- Chụp tĩnh mạch buồng trứng ngược dòng qua ống thông qua da (chụp tĩnh mạch buồng trứng ngược dòng) cho thấy các tĩnh mạch buồng trứng ngoằn ngoèo và giãn (đường kính trên 6 mm), trào ngược tĩnh mạch và tắc nghẽn đám rối tĩnh mạch buồng trứng, và thời gian rửa trôi của chất cản quang trong khung chậu cần hơn 20 giây. Hiện nay, chụp tĩnh mạch buồng trứng ngược dòng được coi là tiêu chuẩn vàng để chẩn đoán.
- Ngoài ra chụp mạch còn là phương pháp điều trị khi có thể nút tĩnh mạch buồng trứng bằng keo sinh học và Coil.

VII. CHẨN ĐOÁN PHÂN BIỆT
- Bệnh lý ruột – tiêu hóa
- Bệnh lý tiết niệu bang quang
- Bệnh lý thần kinh
- Bệnh lý tử cung phần phụ khác.
VIII. ĐIỀU TRỊ
- Điều trị nội khoa bao gồm giảm đau, thuốc chống viêm không steroid (NSAID), thuốc đối kháng hormone giải phóng gonadotropin (GnRH) với liệu pháp thay thế hormone (HRT), dihydroergotamine, progestin, medroxyprogesterone acetate (MPA) và Goserelin acetate.
- Điều trị bằng can thiệp nội mạch khi nội khoa không hiệu quả.
- Phẫu thuật là phương án cuối cùng khi các phương pháp khác không có hiệu quả.
Bs. Hoàng Đoàn Sơn Tùng - Khoa Chẩn đoán hình ảnh.
